Agende agora a sua consulta!
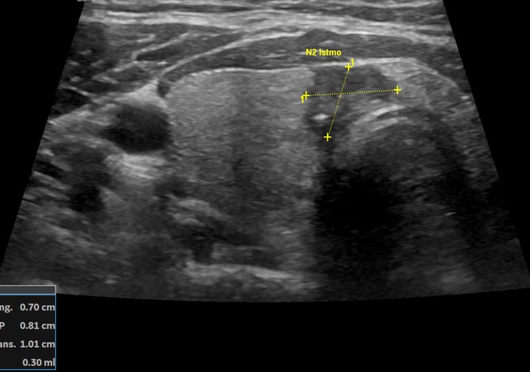
Existem critérios ultrassonográficos, isto é, características visualizadas ao exame de ultrassonografia dos nódulos da tireoide que sugerem ou não uma melhor investigação com a PAAF. Esses critérios levam em conta todas as caraterísticas dos nódulos da tireoide, dentre elas, destacamos:
Nódulo sólido, misto ou cisto;
Ecogenicidade, se o nódulo é mais escuro(hipoecoico), claro(hiperecoico) ou tons de cinza parecido(isoecoico) que a tireoide;
Formato. Se é maior na largura ou altura;
Margens. Se as margens do nódulo podem ser bem definidas, ou lobuladas, ou com extensão para outros tecidos;
Se possuem calcificações. Micro ou macro calcificações.
Obs.: Em negrito, são as características do nódulo na imagem acima.
Tenho nódulo na tireoide. E agora?
O que muitos não sabem é que até 70% da população possuem ou irão possuir nódulos na tireoide.
Desses 70%, apenas 5% irão evolui para o câncer de tireoide.
Vejam bem, somente através de uma investigação muito bem realizada, com exames de ultrassonografia, PAAF de nódulos da tireoide é que podemos estabelecer a necessidade de intervenção cirúrgica. Isso tudo sendo acompanhado pelo especialista na área, que é o Cirurgião de Cabeça e Pescoço.
Essas características ultrassonográficas levam a uma classificação chamada Ti-Rads, que vai de 1 a 5 muito utilizada pelos médicos radiologistas e que estão em todos os laudos de exames de ultrassonografia de tireoide.


Nós, cirurgiões de cabeça e pescoço, além de utilizarmos o Ti-Rads, utilizamos também a classificação de risco da ATA (American Thyroid Association) para nos orientar na nossa conduta.
Um bom médico radiologista e cirurgião de cabeça e pescoço já começa a avaliação do nódulo levando em consideração todas essas características descritas. A partir daí, pode-se indicar ou não a PAAF (Punção Aspirativa por Agulha Fina).
Então, se seu médico indicou a PAAF do seu nódulo de tireoide, é porque o seu nódulo preenche critérios de suspeição para neoplasia de tireoide (câncer de tireoide).
O Dr. Vângelis Rebelo realiza exame de ultrassonografia de tireoide e em região cervical em todos os pacientes durante a consulta, mesmo naqueles pacientes que já possuem o exame, pois podem existir detalhes não vistos nos exames anteriores.
Imagem: Nódulo Ti-Rads 5
Agendamento on-line
Agende sua consulta agora mesmo!
Faça já o agendamento de sua consulta de forma rápida e fácil.
Basta escolher a data e o melhor horário para você.
Copyright©2025 Dr. Vângelis Rebelo - Todos os direitos reservados.
REBELO ASSISTENCIA E SERVICOS MEDICOS ASSOCIADOS 37.740.458/0001-97
Dr. Vângelis Rebelo
CRM 7761 RQE 4790
(92) 98640-7177
cirurgiao@drvangelisrebelo.com.br

